sterling orthodontics

Your Smile Journey
Starts With Sterling

Welcome to Sterling Orthodontics, where exceptional care, advanced technology, and beautiful smile transformations come together. If you’re looking for a trusted orthodontist in Sterling Heights, our team is committed to helping you achieve a confident, healthy smile with customized treatments designed for patients of all ages. Schedule your consultation today and experience expert care in a warm, family-friendly environment.

Orthodontic Treatment that puts a smile on your face

Our Office

Where excellence, innovation, & compassion converge to bring out your brightest smile.

At Sterling Orthodontics, we have designed our office to feel modern, inviting, and family-oriented. From the moment you arrive, our team strives to make your visit enjoyable and stress-free. We utilize digital imaging, advanced sterilization systems, and technology-enhanced workflows to ensure accuracy and efficiency in every treatment.

Our flexible scheduling, friendly staff, and transparent communication make your orthodontic journey easy and convenient. Whether you are a parent bringing in a child for early evaluation or an adult exploring Invisalign, we provide a supportive environment tailored to your needs.

Our Treatments

We offer a full range of orthodontic treatment in Sterling Heights, designed to help every patient achieve a confident, beautiful smile. Whether your goal is to straighten teeth, correct bite issues, or maintain alignment, we have a solution for you.

Invisalign

Invisalign

For patients seeking a discreet and comfortable orthodontic option, Invisalign aligners provide a nearly invisible way to straighten teeth. The clear aligners are removable, easy to clean, and fit seamlessly into everyday life. Sterling Orthodontics is a trusted provider of Invisalign in Sterling Heights, offering precision treatment planning to ensure predictable, efficient results.

Surgical Orthodontics

Surgical Orthodontics

For more complex orthodontic cases, surgical orthodontics may be recommended to correct jaw irregularities and improve facial symmetry. Our team collaborates closely with oral surgeons to create a comprehensive, coordinated treatment plan that enhances both function and aesthetics. We ensure patients feel informed and supported throughout the entire process.

Two-Phase Treatment

Two-Phase Treatment

Two-phase treatment is ideal for younger patients who may benefit from early orthodontic guidance. The first phase focuses on influencing jaw growth and guiding developing teeth, while the second phase straightens the remaining permanent teeth. This approach can prevent more severe issues later and often reduces the length of future treatment.

Self-Ligating Braces

Self-Ligating Braces

Self-ligating brackets use advanced technology to move teeth with less friction and greater efficiency. This option offers faster adjustments, improved comfort, and fewer appointments compared to traditional braces in Sterling. Sterling Orthodontics provides both metal and clear self-ligating options to fit your lifestyle and needs.

Advanced technology

Advanced Technology

Our commitment to advanced technology ensures every treatment is precise, efficient, and comfortable. We use digital scanners for mess-free impressions, 3D imaging for detailed treatment planning, and modern appliances that deliver highly accurate results. This technology reduces chair time, enhances comfort, and helps us create predictable treatment outcomes.

Retainer Assurance

Retainer Assurance

We know how vital retainers are for maintaining your new smile. Our Retainer Assurance Program gives patients peace of mind by offering replacement retainers as needed. If your retainer breaks, gets lost, or needs replacement, our program ensures affordable and convenient access to new retainers, protecting your smile for life.

Dr Bridget Bushon-Miller orthodontist serving Troy MI

Meet The Doctor

Dr.Bridget Bushon-Miller

Dr. Bridget Miller is a board-certified orthodontist with extensive training from Michigan State University and the University of Detroit Mercy, where she earned her DDS and Master of Science in Orthodontics. With a warm, patient-focused approach, she creates personalized treatment plans using the latest digital technology, including iTero scanning and advanced orthodontic techniques.

Dr. Bridget is an active member of several leading organizations, including the American Board of Orthodontics and the American Association of Orthodontists, ensuring she stays at the forefront of her field. Patients appreciate her compassionate care, attention to detail, and commitment to helping each person achieve a confident, healthy smile.

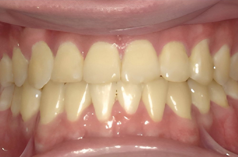
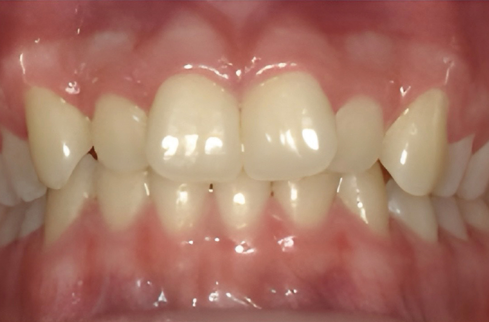
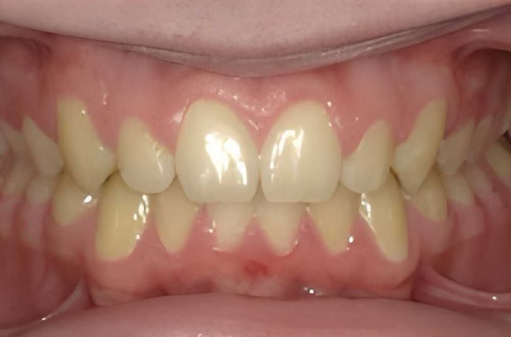
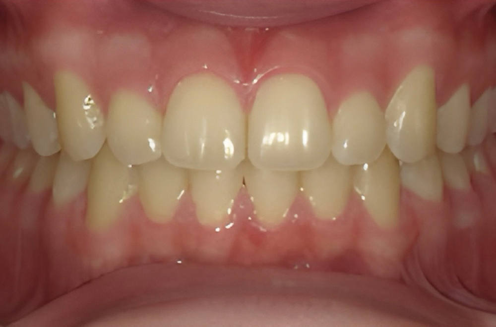
Smile Transformations

Our smile transformations speak for themselves. Sterling Orthodontics has helped countless patients achieve beautiful, life-changing results through braces, Invisalign, and advanced orthodontic treatments.

Before After
Before After
Before After

Finance and Insurance

We believe cost shouldn’t prevent quality care. Treatment costs vary by plan, and we’ll review options with you during your consultation.

We believe everyone deserves access to quality orthodontic care. That’s why Sterling Orthodontics offers flexible payment plans, interest-free financing options, and transparent pricing. We work with many insurance providers and will verify your benefits to help maximize your coverage. Our team is always available to discuss costs, payment plans, insurance claims, and budgeting options, making treatment more affordable and stress-free.

Call us today for a complimentary benefits check.

Testimonials

Here’s what our patients are saying:
The office is very clean and comfortable, the staff has been very welcoming and kind. They put effort into ensuring you have a good experience with minimal cost. They also offered interest free in office financing to make treatment easier to afford.

Sarah H.

It was an excellent experience. The lobby is welcoming with great customer service.. They were very efficient and thorough with their exams and all information provided to us about our visit.

Carter

The staff at Sterling Ortho are friendly and caring. My youngest sons care and results were fantastic. His birthday is next week and he said this was the best present he could get. My oldest son is starting braces and is comfortable and ready to go. He even asked when was the soonest appointment. I’m very happy my kids are taken care of.

Ruby

This ortho is great. My son got braces today and we really liked everything, the staff is very welcoming and friendly. Everything went quickly and easily for my son. I like this orthodontics.

Olya

I am not sure where to start Sterling Orthopedics team are all awesome thank you for everything and the beautiful job. Dr. Bridget is amazing, lovely and very knowledgeable. She will not let you leave till she knows everything looks good. I really appreciate everything you all have done.

Jojo

You’ll find the best service at this practice. Staff is very nice, staring from the front desk who always accommodate to my busy schedule to. Dr. B who is amazing and always made me feel comfortable in the office. I would definitely recommend anyone who is looking for braces or Invisalign treatment to come here for their treatment!

Maryam

The nicest orthodontist I’ve been to. The doctor was really sweet and explained everything in details. The staff were awesome, everything overall was really good.

Angelina

Your Sterling Smile
Starts With A Free Consultation!

Your dream smile is closer than you think. Whether you’re considering braces, Invisalign, or exploring treatment options for your child, Sterling Orthodontics is here to guide you every step of the way. Our friendly team, advanced technology, and personalized care ensure a comfortable, stress-free experience from your very first visit.

Take the first step toward a healthier, more confident smile. Call us at 586-301-7936 or schedule your free consultation online today. Your smile journey starts now!

Scroll to Top

New Patient

Current Patient